Skip to main content

Estudios complementarios

Los estudios complementarios son aquellos estudios que se solicitan generalmente para ayudar en la definición de una patología. Hay una gran cantidad, dentro de los cuales los más importantes son:

Angiografía Digital o retinofluoreceinografía (RFG)

Estudio mediante el cual se investigan las enfermedades oculares de la retina. Se realiza mediante la inyección de una sustancia de contraste en la vena y la obtención de imágenes fotográficas (digitales o convencionales) de la retina. Es un estudio con pocas complicaciones aunque no exento de estas. Muy útil en las enfermedades maculares.

Cvc

Estudio mediante el cual se investiga el estado funcional de la retina y del nervio óptico principalmente en afecciones como ser el glaucoma. Se realiza colocando al paciente frente a un equipo en penumbras y diciéndole que oprima un botón cuando vea una luz tenue que se proyecta en una cúpula enfrente de él o dentro del ojo. Es un estudio rápido y no invasivo.

Hrt

Estudio que permite principalmente el estudio del nervio óptico mediante la técnica con focal de láser y permite obtener imágenes que nos indican principalmente la cantidad de fibras del nervio óptico, su volumen, excavación (dato importante en la evaluación y seguimiento del glaucoma). Como regla general a mayor cantidad de fibras en el nervio óptico generalmente más sano esta esté.

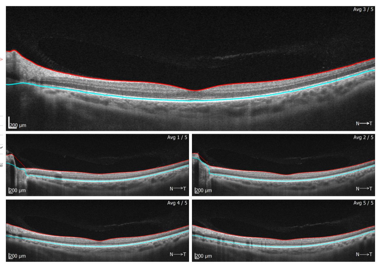
Oct

Estudio de la retina (principalmente la mácula) o nervio óptico mediante el cual un láser lee la superficie retinal y hace cortes ópticos de la misma que posibilita el examen de las diferentes capas de la misma. Nos Brinda mucha información sobre la micro estructura de la retina. Es de rápida obtención, inocuo y altamente reproducible. En muchos casos se complementa con estudios de angiografía digital o rfg.

Test de colores

Estudia la capacidad de discriminar los colores y la misma para discriminar los cambios mínimos entre estos. Útil en las afecciones maculares.

ERG

Electro Retino Grama es un estudio bio-eléctrico que mide la capacidad de polarización y despolarizaciones de la retina que esta alterada en ciertas enfermedades. Se mide mediante la estimulación con luces de la retina y registrando los cambios bio-eléctricos.

Paquimetría

Estudio que posibilita obtener la medición del espesor corneal. Dicha medida se utiliza en los estudios del glaucoma, queratocono y para la realización de procedimientos corneales (como ser cirugías refractivas).

Ecografía / Ecometría

Estudio mediante el cual al colocar una sonda que emite pulsos de sonido sobre el ojo, puede inferir el estado de las diferentes estructuras intraoculares cuando estas no son visibles o para realizar el cálculo de las LIOs (lentes intraoculares) para su colocación en la cirugía de cataratas.


  • Malabia 2283 7° 31. Palermo, Capital Federal